您的位置:首页 > 服务项目 > 即刻修复 > 门诊时间:每日9:00-18:00     咨询电话:022-88365571
 
 
  牙齿美容
  微创种植牙技术
  治疗
  即刻修复
  正畸
  激光治疗
  洁牙
 
 
 
 
 
 
牙齿美容
微创种植技术
治疗
即刻修复
正畸
激光治疗
洁牙
 
 
 

即刻修复

即刻修复

 

 

cerec采用光学扫描,计算机辅助设计,精密无痕,美观,耐用,环保,舒适。做前牙美学修复与其他任何一种烤瓷修复比较有不可比拟的效果,有玉般质感。修复一颗牙齿仅需1小时。量身定牙,立等可取。适合做补牙,嵌体,冠修复。

 

 

         

 

 

病例一:上图为修复前龋坏下图为cerec嵌体修复。      

 

                 

 

 

病例二:上图为上前牙缝隙,下图为cerec贴面修复。

 

 

 

 

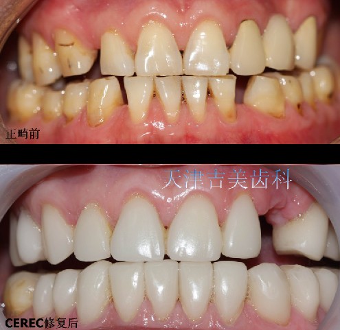
病历三:上图为修复前,氟斑牙,牙列不齐。 下图为cerec贴面修复后,改变了形态和颜色,保留了部分牙齿本来特色,更形象自然。

   

                 

 

 

病历四:上图为修复前,牙齿稀松,颜色不正。下图为cerec贴面修复后,改变了形态和颜色,形象生动,玉质感,患者非常满意。

 

 

病历五:上图为修复前,右上牙和下牙氟斑牙,左上烤瓷连桥。 下图为右上和下牙cerec贴面修复,左上为氧化锆连桥修复后。

 
 

地址:天津市河西梅江龙水园1-20号 版权所有:吉美齿科 Copyright ©2011-2022 Corporation

津ICP备12002747号-1 津卫(中医)网审【2011】第0040号

津公网安备 12010302001299 号